
Hand, Wrist & Forearm Fractures
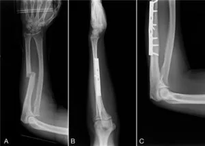
What is it? A fracture is a broken bone. These are common injuries affecting the many bones in the hand, wrist (like the distal radius), and forearm, often resulting from falls or direct trauma.
Common Symptoms: Severe pain, swelling, bruising, deformity, and inability to move the hand or wrist.
Our Approach: Accurate diagnosis with X-rays or CT scans is critical. Dr. Traverso specializes in both non-surgical and surgical management. Many fractures can be treated with custom casting or splinting. For more complex fractures, Dr. Traverso uses advanced surgical techniques, including plates and screws, to precisely realign the bone and ensure optimal healing and functional recovery.